Cecal Volvulus
Cecal Volvulus
Andrew M. Holloway, MD and Michael T. Langford, MD
Table of Contents
Definition and Classification
Cecal Volvulus: Twisting of the Cecum Around Itself
Causes a Closed Loop Obstruction That Can Cause Vascular Compromise with Ischemia, Necrosis, and Perforation
Second Most Common Colonic Volvulus (35%), After Sigmoid Volvulus
Classification
- Type I: Axial Twisting Along the Long Axis
- Most Often from Clockwise Rotation
- Type II: Twisting of the Cecum and Terminal Ileum
- Most Often from Counterclockwise Rotation
- Type III (“Cecal Bascule”): Anterosuperior Folding of the Cecum without Any Axial Twisting
- Less Common (20%)

Cecal Volvulus 1
Etiology
Congenital Risk Factors
- Mobile Cecum and Ascending Colon (Congenital Failure of Normal Peritoneal Fixation During Development)
- Malrotation or Incomplete Intestinal Rotation
- Congenital Bands or Adhesions
More Common in the 4th-6th Decade of Life (Compared to Sigmoid Volvulus Which is Most Common in the 6th-8th Decade of Life) – Due to Congenital Cecal Mobility Rather than Degenerative Colonic Disease
Additional Risk Factors
- Adhesions
- Female Sex
- Pregnancy
- Chronic Constipation
- Colonic Dysmotility
- High-Fiber Intake
- Abdominal Masses
- Prolonged Immobility
- Colonoscopy
Presentation and Diagnosis
Presentation
- Abdominal Pain
- Abdominal Distention
- Nausea and Vomiting
- Obstipation
Diagnosis
- Generally Diagnosed by CT Abdomen/Pelvis
- Cecum is Dilated and Twisted
- Ileocecal Valve May Be Directed Laterally
- “Whirl Sign” with Mesentery Twisted
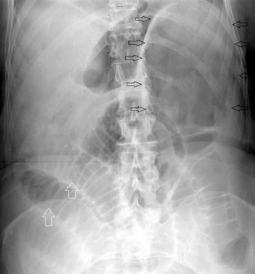
- Abdominal Plain Film Can Be Diagnostic But is Neither Sensitive nor Specific
- Classic “Coffee-Bean Sign” (Dilated Loop of Colon with Apex in the Left Upper Quadrant) is Rarely Seen
- Suggestive Plain Film Findings Should Be Further Evaluated by CT
Can Be Diagnosed at Surgical Exploration in an Emergent Setting

Cecal Bascule
Management
The Primary Treatment is Surgical Resection (Right Hemicolectomy vs Ileocecectomy)
Avoid Endoscopic Detorsion – Technically Difficult with High Risk for Perforation and Missed Injury
Surgical Intervention
- Do Not Detorse Ischemic or Necrotic Bowel Prior to Resection – Risk for Reperfusion Bacteremia and Sepsis
- Detorsion Alone without Resection is Generally Advised Against Due to High Recurrence Rate (Up to 25% or More)
- Consider End Ileostomy vs Anastomosis with Diverting Loop Ileostomy if High Risk for Anastomotic Leak
May Consider Detorsion and Cecopexy Alone (Without Resection) if Bowel is Viable and the Patient is Hemodynamically Unstable or Unfit for Resection
- Alternatively May Consider Detorsion with Cecostomy Tube Instead of Cecopexy
References
- James B, Kelly B. The abdominal radiograph. Ulster Med J. 2013 Sep;82(3):179-87. (License: CC BY-NC-SA-4.0)